【VOGUE 採訪】
在踏入醫美之前,你必須造訪的牙科診所——
羅氏審美牙科,以世界級技術重塑你的最美笑容
在追求逆齡的過程中,人們往往把希望寄託在各式醫美療程上,卻忽視了決定臉部支撐與比例的真正基礎——牙齒結構。
“因為從小就在不同國家接受教育,透過不同文化的刺激,讓我更了解如何轉譯不同人種的美學需求.
Dr.Lo 羅時睿 院長
陶瓷貼片製作流程
Smile Direct Mock-up
手繪齒形美學設計
依照臉型與微笑角度製作美學設計草稿
讓您更快速了解最適合自己臉型的美學設計
快速臨時貼片雕塑
醫師使用液態樹酯在口內直接製作臨時貼片
4-5hr內即可在光固化後見到貼片型態
精準製作陶瓷貼片
依照臨時貼片完美複製量身定制的陶瓷貼片
有別於數位微笑設計,更加貼合與精準
多元文化背景淬鍊出的
微笑美學
量身定制的牙科體驗
-

牙科醫學美容
超越「微笑設計」進階成 Facial-driven aesthetics「顏面主導的美學設計」。
-

燒瓷牙師
好的美學設計需要精準的陶瓷貼片製作。與經驗豐富的燒瓷牙師合作便是一件極重要的事
-

全口重建與咬合重建
全口重建是牙科治療的成敗關鍵。有症狀的牙齒除了當下狀況,通常都伴隨著更大的隱憂。
-

轉診諮詢與牙科診斷
轉診給患者更好的照護。羅院長在轉診方面有準確的判斷力,讓患者能找到適合的專科醫師。
-

基礎牙科
完美笑容一定要與健康的牙齒並重。蛀牙與定期洗牙照護都是美容牙科重要的一環。
-
矯正以及鑽石快速矯正
並非所有患者都有適合矯正療程的條件,此時鑽石快速矯正是另一個絕佳替代療程選項。
預約診療諮詢
診所位於台北市信義區六張犁捷運站旁
私密舒適的診療空間歡迎注重生活細節的你
動態美學知識
Veneer Stories
陶瓷貼片療程,牙齒需要修磨多少呢?
陶瓷貼片到底需要磨多少牙齒?陶瓷貼片其實屬於微量修磨,平均約 0.3–0.6mm,不會大幅破壞牙齒。我們帶你解析陶瓷貼片會不會痛、常見副作用、價格與耐用度
自信笑容,從美學牙科開始
自信笑容,從美學牙科開始的意思是。:僅靠牙齒矯正,並不一定能帶來理想的笑容。
許多患者在矯正後,仍面臨牙縫黑三角、扇形牙或比例不佳的問題。
美學治療流程
Veneer process
“臨時貼片/美容全瓷冠至關重要。它不只讓患者感受新的自己也可以讓醫師以及燒瓷牙師作為最精準的美學設計藍圖 ”
-
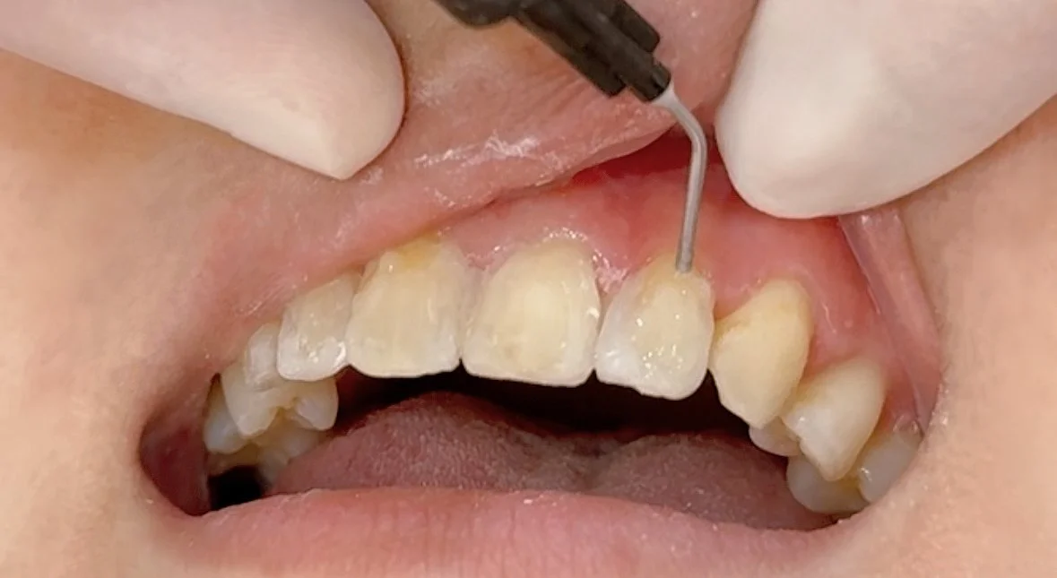
討論病理方面問題
x-Ray 討論基礎狀況是否有需要處理其他牙科疾病
拍全臉,牙齒彩色照片討論基本的美學(如果沒有病灶可以直接挑過基礎諮詢)
-
討論 宏觀(整體臉部)迷你觀(微笑,唇)以及微觀(牙齒)美學
掃描口內影像建立3D檔案
討論並告知美學矯治的可能性、必須性、以及可達成的承諾。
-
開始療程,口內樹酯雕刻美學設計拍照確認未來樣貌
牙齒修型、整備牙齒:清創蛀牙、讓牙齒滑順牙齒整理好後拍照記錄
印模完成,口腔掃描檔案
再以口內美學設計的模型製作臨時貼片以便確認顏色及型態最後口腔掃描設計後的臨時貼片以供
燒瓷牙師確認參考實際貼片位置型態以及色調。
-
通常 術後兩天以內 醫師會要求患者回診
在這次約診我們會邀請燒瓷牙師一起到現場討論細節:在沒有麻藥以及超過24小時後我們的臉部肌肉以及口內軟組織會放鬆,提供醫師更好的資訊做調整以及改善細節
牙齒未來顏色也會在這次與患者確認
-
通常在第一次術後回診就會把大部分的問題討論及處理完畢但是如果患者想在多多適應,患者可以在第一次調整完後在回去感受一下新的牙齒所帶來的變化。
在另外約第二次的回診來討論以及調整細節
-
通常在第一次術後回診後的隔2週就可以完成貼片/美學治療
調整咬合,記錄、製作維持器,術後須知。
-
調整咬合討論適應狀況,術後須知重要性的強調,調維持器試戴
-
你的微笑設計終於到了一個痊癒的階段回診討論狀況
術後的保養檢查,咬合檢查
軟組織,肌肉 會需要時間慢慢調理,並且適應新的牙齒這個時候才是你真正完成的樣子!






