陶瓷貼片療程,牙齒需要修磨多少呢? | 羅氏審美牙科診所

想改善牙齒顏色、裂痕或形狀的人,常會考慮 陶瓷貼片(又稱 牙齒貼片、美白貼片)。不過,許多人在邊看療程說明時,心裡常有以下疑問:

  • 陶瓷貼片(美白貼片)會不會很傷牙齒?

  • 做陶瓷貼片(美白貼片)要磨多少牙齒?

  • 陶瓷貼片(美白貼片)療程會痛嗎?有副作用嗎?

這些問題背後,都是對牙齒健康與美觀的擔心,也常常是患者就診時會提到的疑問。

今天我們用專業牙醫師的角度,帶你解答「牙齒貼片需要修多少」的常見疑問,並分享選擇製作牙齒貼片診所時,該注意的重點。


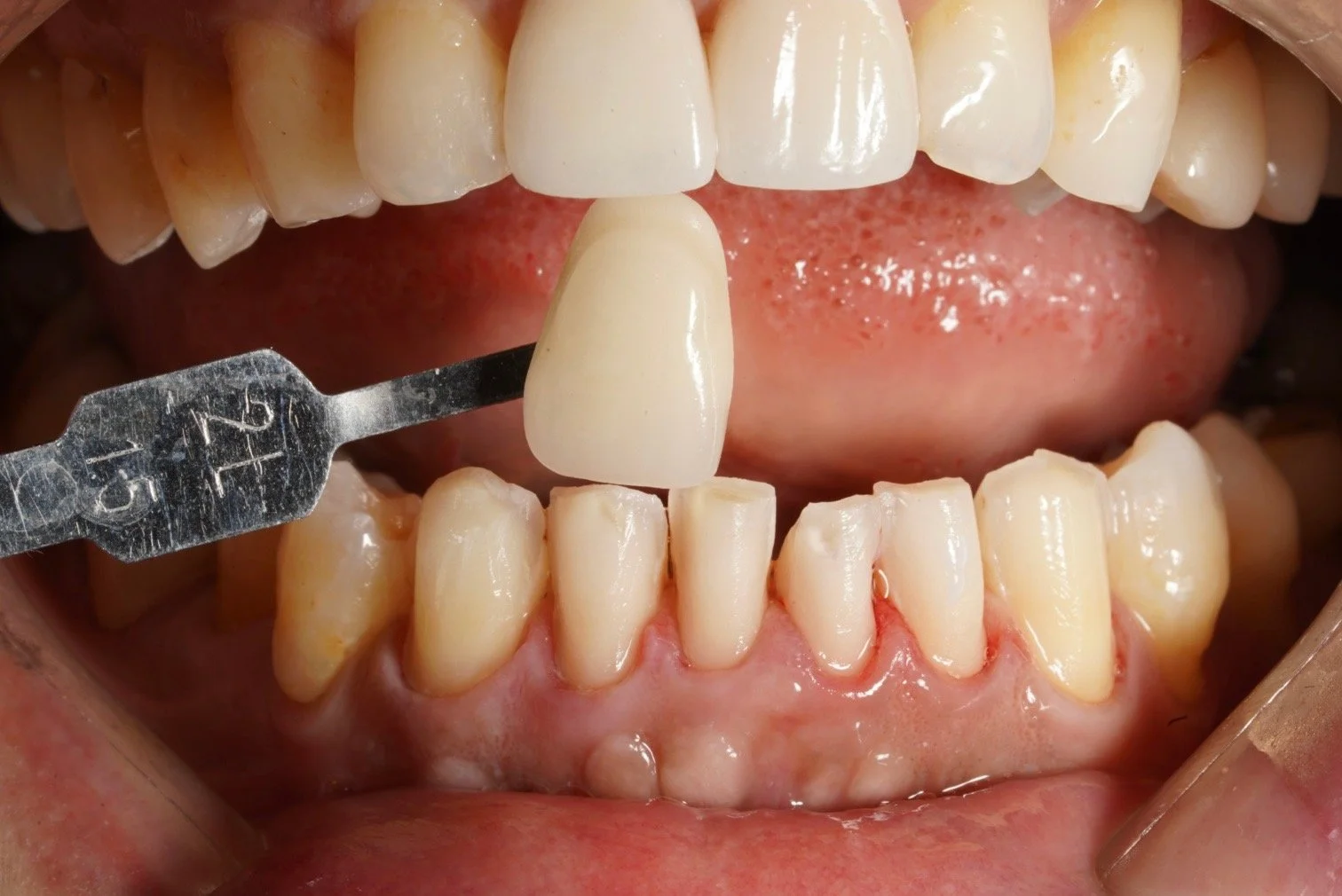
牙齒貼片的本質:不是破壞,而是修復

陶瓷貼片(Veneer,常稱牙齒貼片或美白貼片) 的核心概念,其實不是「削掉牙齒」,而是 在保留牙齒結構的前提下,透過「微量修磨」與陶瓷層覆蓋,讓牙齒恢復自然美觀

微量修磨的定義是:

陶瓷貼片屬於 [牙齒美學修復療程]

目的是讓笑容更好看,同時保護牙齒,而不是傷害牙齒

  • 平均修磨量:約 0.3–0.6mm(差不多是一片隱形眼鏡的厚度)。

  • 排列較理想的牙齒:可能幾乎不用磨或只需 0.1–0.3mm。

  • 凸出或顏色較深的牙齒:修磨量可能需要 0.5–0.7mm,才能兼顧美觀與自然感。

  • 臨床上很少超過 0.8mm,因為那樣就不算是「微量修磨」,而是接近牙冠治療的範疇。


因此,當很多患者一聽到「要磨牙」會害怕,是來自於「修磨牙齒」容易被以為是「破壞健康牙齒」。其實,陶瓷貼片屬於 牙齒美學修復療程,目的是讓笑容更好看,同時保護牙齒,而不是傷害牙齒!

這也是為什麼我們在與患者溝通時,更傾向使用「幫牙齒塑形」這樣的方式解釋療程
— 羅時睿 院長

做陶瓷貼片需要磨多少牙齒?

其實這個問題沒有單一答案,因為修磨的量通常會依以下條件而異:

  1. 牙齒健康狀況:若有蛀牙、裂痕或嚴重磨耗,修磨範圍可能較大。

  2. 牙齒顏色:若原本顏色偏深,貼片厚度需要增加以遮蓋。

  3. 牙齒排列與角度:後縮牙齒幾乎不用磨,但凸出的牙齒就必須適度修整,否則做出來會假、甚至顯得暴牙。

  4. 美學需求:想改善的範圍越大,修磨量也會增加。

一般來說,陶瓷貼片的厚度大約 0.3–0.6mm,差不多是一片隱形眼鏡的厚度。市面上有些號稱「0.01mm 羽量貼片」,聽起來誘人,但在臨床上幾乎不可能兼顧美觀與耐用,往往只是行銷話術。


為什麼要做陶瓷貼片?

如果你以為陶瓷貼片都是網美跟年輕女性的選擇,那你真的誤會大了。我們普遍的陶瓷貼片患者都是40~50歲的族群,有的是要參加子女婚禮或是正式商務場合,希望自己整體的氣質能更好,健康狀況與口腔舒適度更加提升。

美觀度會進一步影響你對照顧自己健康的意識

常有患者在回診時跟我們說,貼片完成後不僅笑容自然、整體自信度都不同,連日常清潔都更輕鬆與仔細。

而且陶瓷貼片的優點是你沒想過的:

  • 自然美觀:透亮色澤,接近天然琺瑯質。

  • 強化牙齒:保護受損表面,減少進一步裂痕或蛀牙。(你可以想像成為了保護手機,貼一層緊密的保護膜的概念

  • 好清潔:表面光滑,不易染色或堆積牙菌斑。(沒錯,你可以拋棄市售美白牙貼與美白牙膏了!

  • 高耐用性:正常使用下可維持 10 ~15年以上。


其實磨多少不重要,效果才是關鍵

無論關於這個議題,真正的重點都在於:「不是磨多少,而是完成後能否達到理想的美觀與健康。」

這也是為什麼你需要慎選療程進行的診所,而不是考慮去沒有醫療背景的坊間美容院做樹脂貼片。因為通常你會為了當下的選擇,花上更多費用去搶救因為受傷而變得敏感的牙齒,或是因此產生其他嚴重的口內健康問題(感興趣的朋友可以去搜尋了解,樹脂貼片常常因為邊緣不密合而擠壓到牙齦,一段時間下來,牙齦就會發炎、易流血,也更容易蛀牙

陶瓷貼片其實就像替自己的牙齒,換上一層新的琺瑯質。不只讓笑容亮眼,也讓牙齒更容易清潔、更健康。

✨ 如果你正在考慮牙齒貼片或其他牙齒美學療程,最重要的是和專業牙醫師面對面評估,依照牙齒條件量身設計,效果才能自然又持久。


羅氏審美牙科的美學理念是健康與美、舒適度並存

在羅氏審美牙科診所,我們秉持著這樣的原則為你進行治療:

✔️ 健康是基礎 —— 矯正讓牙齒恢復正確的位置與咬合

✔️ 美學是升級 —— 美學設計讓你的笑容真正成為亮點

✔️ 舒適的牙科體驗 —— 寬敞空間與不急促的看診流程,為了讓你不再怕看牙齒而錯過了黃金治療期

自信的笑容,不只是整齊的牙齒,更是一種專屬於你的影響力。

美觀程度與口腔健康應該是並存而不是只能選一個。

歡迎前來讓專業牙醫師為你評估,找到最適合你的,健康與美雙重加分的治療規劃。

預約諮詢
Next
Next

自信笑容,從美學牙科開始 | 羅氏審美牙科診所